Запись на консультацию: +7 (499) 390-35-72+7 (926) 984-81-70
Главная
О докторе
Заболевания
Симптомы
Лечение
FAQ
Отзывы
Цены
Задать вопрос
Видео
Контакты

Нейрохирург
Дуров Олег Владимирович

Запись на консультацию:+7 (499) 390-35-72+7 (926) 984-81-70

Лечение спондилолистеза

Лечение спондилолистеза консервативно, т.е. без операции не эффективно, т.к. зафиксировать позвонки без хирургического вмешательства не представляется возможным. Как показывает наш опыт, ношение корсета или "закачивание" мышц спины не приводит к долгосрочным положительным результатам. Мануальная терапия также носит временный характер, так как после возвращения пациента в вертикальное положение позвонок вновь "съезжает" в свое привычное смещенное состояние.

Со временем смещение позвонков увеличивается, что может потребовать, в дальнейшем, более сложной и травматичной операции: выполнение фиксации не только из задне-срединного доступа, но и из переднего. Поэтому сохранение болевого синдрома более 2-х месяцев несмотря на проводимое консервативное лечение является показанием к обращению к нейрохирургу. В случае же выявления неврологической симптоматики в виде слабости в стопе или ноге, нарушения тазовых функций в виде запоров или задержки/учащенного мочеиспускания необходимо срочно обратиться к нейрохирургу для оперативного лечения.

Для решения вопроса о лечении спондилолистеза запишитесь на консультацию к нейрохирургу Дурову Олегу Владимировичу по телефону: +7 (499) 390-35-72.

 

Операции при спондилолистезе

Хирургическое лечение спондилолистеза заключается в фиксации «разболтанных» позвонков титановыми винтами. Винты вводятся в позвонки через дужки позвонков (с лат. «педикули»), поэтому такая фиксация называется «транспедикулярной». Данный метод фиксации позвонков был впервые применен Roy-Camille в 1963г. и используется благодаря своей высокой эффективности по всему миру до настоящих дней.

Рис. 5a. Схема введения винтов через дужки позвонка при транспедикулярной фиксации позвоночника. Рис. 5b. Схема транспедикулярной фиксации L4-L5 позвонков титановой конструкцией. Окончательный вид конструкции в сборе (вид сверху).
Рис. 1a. Схема введения винтов через дужки позвонка при транспедикулярной фиксации позвоночника.
Рис. 1b. Схема транспедикулярной фиксации L5-S1 позвонков титановой конструкцией. Окончательный вид конструкции в сборе (вид сверху)

Кроме того, в зависимости от техники проведения операции могут использоваться межтеловые кейджи. Кейдж (в переводе с английского «cage» означает «сетка») представляет собой титановый или пластиковый имплант, заполняемый собственной костной крошкой пациента или другим остеоиндуктивным (костьобразующим) материалом. Кейджи устанавливаются в полость диска, в результате чего восстанавливается высота последнего и соответственно высота фораминального отверстия (через который выходит спинномозговой корешок из позвоночного канала). Кейджи могут быть цилиндрической или прямоугольной формы, выполненными из титана или «PEEK»-керамики. Титановые цилиндрические кейджи в настоящее время используются редко.

Рис. 6a. Рентгенограмма поясничного отдела позвоночника в боковой (а) и прямой (b) проекции после операции транспедикулярной фиксации L4-L5 позвонков. Стрелкой указаны 2 титановых цилиндрических кейджа. Рис. 6b. Рентгенограмма поясничного отдела позвоночника в боковой (а) и прямой (b) проекции после операции транспедикулярной фиксации L4-L5 позвонков. Стрелкой указаны 2 титановых цилиндрических кейджа.
Рис. 2a,b. Рентгенограмма поясничного отдела позвоночника в боковой (а) и прямой (b) проекции после операции транспедикулярной фиксации L4-L5 позвонков. Стрелкой указаны 2 титановых цилиндрических кейджа.
 

Миниинвазивные операции при спондилолистезе

Наиболее современным методом фиксации в настоящий момент является миниинвазивная технология введения винтов через небольшие разрезы. Этот метод позволяет меньше травмировать мышцы разгибатели позвоночника при введении винтов, а также более быстрому выздоровлению пациента и возвращению к обычному образу жизни, активному отдыху и работе. Технология данной фиксации заключается в использовании канюлированных винтов, т.е. винтов с отверстием в центре. В начале в тело позвонка вводится спица, а уже по спице вводится винт. Удаление грыжи диска и введение кейджа в межтеловой промежуток производится через тот же разрез, что и введение винтов. 

Рис.7-1. Схема миниинвазивной технологии транспедикулярной фиксации позвоночника. Введение спицы через иглу.Рис.1. Схема миниинвазивной технологии транспедикулярной фиксации позвоночника. Введение спицы через иглу.
Рис.7-2. Схема миниинвазивной технологии транспедикулярной фиксации позвоночника. Введение по спице канюлированного винта в сборе с держателем.Рис.2. Схема миниинвазивной технологии транспедикулярной фиксации позвоночника. Введение по спице канюлированного винта в сборе с держателем.
Рис.7-3. Схема миниинвазивной технологии транспедикулярной фиксации позвоночника. Два держателя винтов соединяются между собой специальным механизмом. Рис.3. Схема миниинвазивной технологии транспедикулярной фиксации позвоночника. Два держателя винтов соединяются между собой специальным механизмом.
Рис.7-4. Схема миниинвазивной технологии транспедикулярной фиксации позвоночника. На держатели винтов надевается устройство для проведения стержня по заданной траектории.
Рис.4. Схема миниинвазивной технологии транспедикулярной фиксации позвоночника. На держатели винтов надевается устройство для проведения стержня по заданной траектории.
 
 
 
 
Рис.7-5. Схема миниинвазивной технологии транспедикулярной фиксации позвоночника. Выполняется проведение стержня в головки транспедикулярных винтов  Рис.5. Схема миниинвазивной технологии транспедикулярной фиксации позвоночника. Выполняется проведение стержня в головки транспедикулярных винтов.
Рис.7-6. Схема миниинвазивной технологии транспедикулярной фиксации позвоночника.  Выполняется фиксация стержня с транспедикулярным винтом при помощи гайки.Рис.6. Схема миниинвазивной технологии транспедикулярной фиксации позвоночника.  Выполняется фиксация стержня с транспедикулярным винтом при помощи гайки.
   

Персональный опыт

Всего, мною выполнено более 500 операций фиксации позвоночника различными системами. Как показывает практика, наиболее надежной является транспедикулярная фиксация позвонков. Использование миниинвазивных технологий позволяет сократить пребывание пациента в стационаре до 3-5 дней после операции и возвращение к обычному образу жизни через 1 месяц. Из осложнений можно отметить один случай раскручивания гайки на винте и смещение стержня. Это произошло много лет назад при использовании белорусской конструкции «Медбиотех». В настоящее время мною используются только импортные системы фиксации: каких-либо повреждений конструкций не отмечено. В 97% случаев отмечалось уменьшение болевого синдрома у пациентов в ранний послеоперационный период, перенесших операцию фиксации позвоночника. В 3% случаев болевой синдром оставался на прежнем уровне. Сохранение болевого синдром на изначальном уровне было связано прежде всего с небольшим сроком наблюдения за дынными больными (3-12 дней),  а также большой распространенностью дегенеративного процесса, пожилым возрастом пациентов, наличием коксартроза (заболевания тазобедренного сустава).

Клинический пример

Больной К., 49 лет. Поступил в клинику с жалобами на боли в поясничном отделе позвоночника в течение многих лет. Последнее обострение отмечал около полугода, когда появились боли в левой ноге. Консервативная терапия у невролога без эффекта. При поступлении обращали на себя внимание корешковый синдром в левой ноге, болевой синдром в поясничном отделе позвоночника.

При рентгенографии (Рис.7) и МРТ (Рис.8) поясничного отдела позвоночника выявляется дегенеративный ретролистез L5 позвонка, секвестрированная  парамедианная грыжа мп диска L5-S1  слева.

Рис. 8а. Рентгенограмма поясничного отдела позвоночника в боковой (а) и прямой (b) проекциях до операции. Стрелкой показано смещение тела L5 позвонка кзади. Рис. 8b. Рентгенограмма поясничного отдела позвоночника в боковой (а) и прямой (b) проекциях до операции. Стрелкой показано смещение тела L5 позвонка кзади.
Рис. 7а,b. Рентгенограмма поясничного отдела позвоночника в боковой (а) и прямой (b) проекциях до операции. Стрелкой показано смещение тела L5 позвонка кзади.
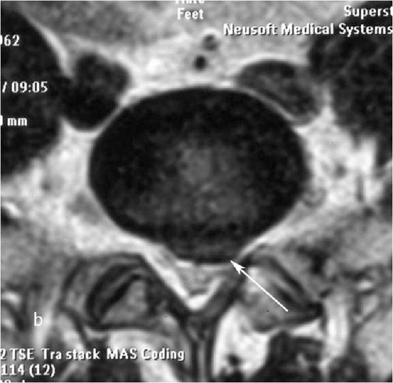
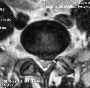
Рис. 9a. Магнитно-резонансная томография (МРТ) поясничного отдела позвоночника в сагиттальной (a) и аксиальной  (b) проекции. Стрелкой показана мп секвестрированная парамедианная грыжа диска L5-S1 слева. Рис. 9b. Магнитно-резонансная томография (МРТ) поясничного отдела позвоночника в сагиттальной (a) и аксиальной  (b) проекции. Стрелкой показана мп секвестрированная парамедианная грыжа диска L5-S1 слева.
Рис. 8a,b. Магнитно-резонансная томография (МРТ) поясничного отдела позвоночника в сагиттальной (a) и аксиальной (b) проекции. Стрелкой показана мп секвестрированная парамедианная грыжа диска L5-S1 слева.
 

Пациенту выполнено оперативное лечение: удаление секвестрированной парамедианной грыжи мп диска L5-S1 слева из минидоступа, миниинвазивная транспедикулярная фиксация L5-S1 титановой конструкцией.

На следующий день пациент отметил значительное уменьшение болей в левой ноге, мог ходить по палате. На 4-е сутки был выписан из стационара в удовлетворительном состоянии: болей в ноге не отмечал, сохранялась умеренная болезненность в области операционной раны, которая прошла через 3 недели.

При контрольной рентгенограмме отмечено правильное положение транспедикулярной системы и кейджа на уровне L5-S1 позвонков. (Рис.9)

Рис. 10 a. Ренгенограмма поясничного отдела позвоночника в боковой (a) и прямой (b) проекции. Транспедикулярная фиксация L5-S1 позвонков титановой конструкцией канюлированными винтами, межтеловая фиксация позвонков кейджем из PEEK-керамики. Стрелкой указано положение ренген–негативного кейджа, видны титановые метки кейджа. Рис. 10 b. Ренгенограмма поясничного отдела позвоночника в боковой (a) и прямой (b) проекции. Транспедикулярная фиксация L5-S1 позвонков титановой конструкцией канюлированными винтами, межтеловая фиксация позвонков кейджем из PEEK-керамики. Стрелкой указано положение ренген–негативного кейджа, видны титановые метки кейджа.
Рис. 9 a,b. Ренгенограмма поясничного отдела позвоночника в боковой (a) и прямой (b) проекции. Транспедикулярная фиксация L5-S1 позвонков титановой конструкцией канюлированными винтами, межтеловая фиксация позвонков кейджем из PEEK-керамики. Стрелкой указано положение ренген–негативного кейджа, видны титановые метки кейджа.


Для решения вопроса о лечении спондилолистеза запишитесь на консультацию к нейрохирургу Дурову Олегу Владимировичу по телефону: +7 (499) 390-35-72.

Полезные разделы
Грыжа межпозвоночного диска
Лечение межпозвоночной грыжи
Причины межпозвонковой грыжи
Диагностика межпозвонковой грыжи
Грыжа L5-S1
Грыжа L4-L5
Лечение антелистеза
Запись на консультацию проводится по телефону:
+7 (499) 390-35-72 +7 (926) 984-81-70
Или на сайте Prodoctorov.ru: Записаться