Стеноз позвоночника
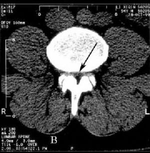
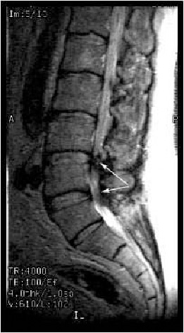
Стенозом позвоночного канала называют уменьшение его размера в передне-заднем направлении, а также уменьшение его ширины. Сужение позвоночного канала в поясничном отделе наиболее часто встречается при гипертрофии (увеличении) фасеточных суставов, желтой связки, уменьшении фораминального отверстия (места выхода нервного корешка из позвоночного канала) за счет разрастания остеофитов, изменении оси позвоночника (сколиоз, спондилолистез). (Рис.1,2А,В)
У части пациентов это сужение может проявляться клинически. Типичным проявлением стеноза позвоночного канала является нейрогенная перемежающаяся хромота, т.е. боль в обоих бедрах или ягодицах или ногах, которая нарастает при длительной ходьбе или разгибании поясницы и проходящая при остановке или приседании пациента. Сужение позвоночного канала может наблюдаться во всех отделах позвоночника, однако в поясничном отделе он встречается чаще. Стеноз позвоночного канала наиболее часто наблюдается у лиц старше 50 лет.
Немного анатомии. Позвоночный канал спереди образован телами позвонков и межпозвонковыми дисками, сзади дужками позвонков, между которыми находится плотная желтая связка, с боков – фасеточными суставами. В позвоночном канале находится спинной мозг с выходящими из него спинномозговыми корешками, окруженный соединительнотканной оболочкой: т.н. твердой мозговой оболочкой образующей дуральный мешок. (Рис.3,4,5).
| Рис.3. Строение поясничного отдела позвоночника и поясничного позвонка. | Рис. 4 Строение поясничного позвонка (аксиальная проекция). |
Рис. 5. Связки позвоночника (пояснично-двигательный сегмент). |
Причины развития стеноза
Наиболее частые причины стеноза позвоночного канала:
- Артроз (разрастание) фасеточных суставов.
- Гипертрофия (утолщение) желтой связки.
- Спондилез (образование костных разрастаний тел позвонков внутри позвоночного канала - остеофитов).
- Спондилолистез (смещение одного позвонка относительно другого).
- Межпозвонковая грыжа диска (очень редко изолированно, чаще в сочетании с артрозом фасеточных суставов).
- Компрессионный перелом позвонка со смещением центрального фрагмента в позвоночный канал.
- Опухоль позвонка.
- Спондилит (воспаление позвонка).
Наиболее частой причиной стеноза позвоночного канала является остеохондроз. Стеноз развивается в течение длительного времени, обычно нескольких лет и является заключительной стадией развития остехондроза. Стеноз позвоночного канала может быть также врожденным. В этом случае его проявления наступают в более раннем возрасте.
Опухолевое, воспалительное и травматическое поражение позвоночника с образованием сужения позвоночного канала описано в других главах.
Не откладывайте свою консультацию на завтра, обратитесь за помощью сегодня!
Для решения вопроса о выборе метода лечения необходимо записаться на консультацию к нейрохирургу Дурову Олегу Владимировичу по телефону: +7 (499) 390-35-72.
