Запись на консультацию: +7 (499) 390-35-72+7 (926) 984-81-70
Главная
О докторе
Заболевания
Симптомы
Лечение
FAQ
Отзывы
Цены
Задать вопрос
Видео
Контакты

Нейрохирург
Дуров Олег Владимирович

Запись на консультацию:+7 (499) 390-35-72+7 (926) 984-81-70

Клинический случай гемангиомы

Больная П., 21 года поступила с жалобами на интенсивные боли в позвоночнике, не позволяющие работать. Боли беспокоили около 2-х лет, усиливаясь после физической нагрузки. Они не зависели от положения, часто возникали по ночам. В момент поступления отмечала периодичность болевого синдрома от нескольких дней до 2-х недель, после чего боли стихали и опять появлялись через 2-3 недели. До операции не работала, инвалид II группы. 

МРТ1   Рис. №1. МРТ грудного отдела позвоночника до операции. Типичные для гемангиомы изменения в телах Th7 и Th9 позвонков. Незначительная гемангиома в теле Th4 позвонка.
   

 

МРТ2  

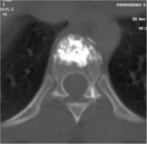
Рис.№ 2. КТ Th7 позвонка. Поражение гемангиомой всего тела Th7 позвонка. 

   

 

МРТ3  

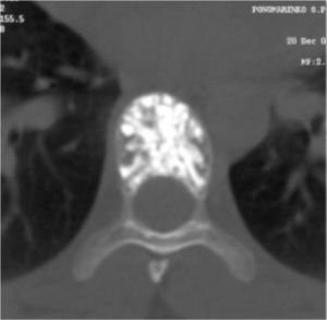
Рис. №3. КТ Th9 позвонка. Поражение гемангиомой части тела Th7 позвонка.

 

Пациентке была выполнена чрескожная вертебропластика ПММА тел Th7 и Th9 позвонков. Из-за небольших размеров гемангиомы вертебропластика тела Th4 позвонка не выполнялась.

МРТ4  

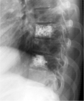
Рис.№4. Рентгенограмма грудного отдела позвоночника в боковой проекции. Определяется удовлетворительное положение костного цемента в телах Th7 и Th9 позвонков.

   

 

МРТ5  

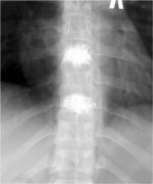
Рис. №5. Рентгенограмма грудного отдела позвоночника в прямой проекции. Определяется удовлетворительное положение костного цемента в телах Th7 и Th9 позвонков.

   

 

МРТ6  

Рис. №6. КТ Th7 позвонка. Заполнение всего тела позвонка костным цементом.

   

 

МРТ7  

Рис. №7. КТ Th9 позвонка. Заполнение пораженной части тела Th9 позвонка костным цементом.

   

Больная была выписана на 2 сутки после операции. Боли в грудном отделе полностью прошли, сохранялся незначительный дискомфорт в месте укола иглы. Пациентка приходила на контрольный осмотр через 1 год: болей в позвоночнике нет, работает по прежней профессии - поваром.

Не откладывайте свою консультацию на завтра, обратитесь  за помощью сегодня!

Для решения вопроса о выборе метода лечения необходимо записаться на консультацию к нейрохирургу Дурову Олегу Владимировичу по телефону: +7 (499) 390-35-72.

Капиллярная гемангиома
Кавернозная гемангиома
Смешанная гемангиома
Полезные разделы
Грыжа межпозвоночного диска
Лечение межпозвоночной грыжи
Причины межпозвонковой грыжи
Диагностика межпозвонковой грыжи
Грыжа L5-S1
Грыжа L4-L5
Лечение антелистеза
Запись на консультацию проводится по телефону:
+7 (499) 390-35-72 +7 (926) 984-81-70
Или на сайте Prodoctorov.ru: Записаться